Radiologie

La radiographie reste la technique de choix dans l’exploration des structures osseuses et du thorax. Elle permet d’obtenir une image en deux dimensions des structures étudiées. La radiographie est analysée sur un écran d’ordinateur et peut éventuellement être envoyée par email.

Les indications

La radiographie reste l’examen à réaliser en première intention dans de nombreuses situations :

  • dépistage de dysplasie du coude et coxo-fémorale, exploration de boiterie, fracture, masse…
  • toux, difficultés respiratoires, bilan d’extension…
  • masse abdominale, suspicion de calculs urinaires, vomissements, syndrome de dilatation/torsion d’estomac, recherche de corps étranger…
caillou a la radio

Radiographie de profil d’un chien ayant avalé un caillou

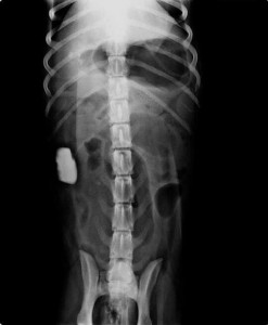
encore un caillou a la radio

Radiographie de face d’un chien ayant avalé un caillou

### Réalisation

Dans la majorité des cas, cet examen peut être réalisé sur animal vigile.

Le recours à une tranquillisation ou une anesthésie générale peut cependant être nécessaire dans plusieurs cas de figure : si votre animal présente une douleur, si le cliché nécessite une position particulière difficile à tolérer pour votre animal ou bien lors de certaines procédures, en particulier les radiographies avec produit de contraste.

charlotte en radioprotection

Charlotte en tenue de radioprotection (tablier de plomb et protège thyroïde prête pour réaliser une radiographie sur ce chien anesthésié en toute sécurité.

radio cochon d'inde

Radiographie d’une cochon d’inde en gestation réalisée par le Dr Reboli et Charlotte

calculs a la radio

présence de nombreux calculs vésicaux dans la vessie de ce chien